‘Whatever it Takes to Save a Tooth’
- perioprotectweb

- Dec 29, 2021
- 4 min read
Updated: Mar 29, 2022
Award Winner: Dr. Gordon Wilson.
Dentist in Phoenix, AZ.

Dr. Gordon Wilson received the Orkos Award for a case study involving a patient with generalized early periodontitis and localized areas of moderate and severe periodontitis. The 54-year-old patient was referred to Dr. Wilson by his general dentist because the patient insisted on trying to save six of his teeth in jeopardy of extraction. At the initial exam, Dr. Wilson agreed with the referring dentist that at least two of the teeth were likely to be lost, but the patient persisted and volunteered to do “whatever it takes to save a tooth,” including the 200 mile drive to Dr. Wilson’s office for multiple visits. The treatment plan included the Perio Tray delivery of medication, laser therapy, scaling and root planing, and, if the teeth were viable after 9 months, root canal therapy. The patient made good on his promise, following the homecare directions and commuting the long distance for his appointments. The treatment proved so successful that only one tooth (#2) was extracted and Dr. Wilson was able to plan necessary restorative work.
The basic treatment plan for this case study followed Dr. Wilson’s patent-pending protocol to treat and maintain all stages of periodontal disease, which he calls Therapeutic Laser Care (or TLC) 4 Gums. With TLC 4 Gums, all patients use Perio Trays to deliver medication for treatment and long-term maintenance. Scaling and root planing is supplemented in more severe cases with laser therapy as needed.
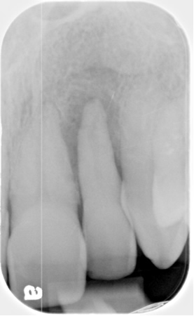
At the initial visit in June 2010, special attention was paid to the six teeth that were in danger of extraction (numbers 2, 3, 7, 10, 14 and 15). Upon reviewing the full-mouth x-ray, Dr. Wilson expressed particular concerned about tooth #10, which exhibited class III mobility and excessive bone loss. The only thing that appeared to hold this tooth in place was diseased gum tissue which a laser removes. If the patient insisted on attempting to save this tooth, not only was the concern that the tooth would exfoliate, but also that the patient might experience such severe post-operative pain that he would want the tooth extracted immediately. Compounding the problem was the fact that the patient lives over 200 miles from the office. By the time he returned home, the effects of the anesthetic would have worn off and the post-operative pain would have set in.
Despite these concerns, the patient insisted that he would do "whatever it takes to save the tooth". So treatment proceeded. Given the severe conditions and unclear outcome of initial therapies, the patient agreed to treatment for a period of nine months, at which point a complete re-evaluation would be completed both for the periodontal disease and potential restorations. The patient was informed that if there was any hope of saving #10 and #14; these teeth would require root canal therapy; however, if these two teeth exhibited mobility after nine months, they agreed to consider their efforts a failure and extract the teeth.
The first step involved equilibrating the occlusion with the aide of the T-Scan, making sure to remove all premature and excursive contacts on the six teeth that were deemed to be "hopeless." The patient was also placed on an oral antibiotic. Next, the teeth and surrounding tissue exhibiting moderate and severe periodontitis were treated with an Nd:YAG laser, and root planing was performed generally. Impressions for Perio Trays were taken and medication was prescribed for Perio Tray delivery with instructions for daily use at home. Three months later, significant initial healing results indicated that new Perio Trays were necessary, and Dr. Wilson prescribed new Perio Trays according to the improved patient conditions.
In March of 2011, at the nine-month mark, the patient returned for evaluation. A periodontal maintenance was completed and the most threatened teeth, # 10 and #14, were evaluated. Neither tooth exhibited mobility. Additionally, periapical radiographs were taken of both to evaluate the bone. The results were unexpectedly positive, and the patient was referred to an endodontist for root canal therapy on #14. Dr. Wilson performed root canal therapy for #10. All work was completed by July 28, 2011.
Since late July 2011, Dr. Wilson and the patient have moved forward with crown preps. At the September 16, 2011 visit, continued healing in terms of pocket probing depths and bleeding on probing was noted. Dr. Wilson expressed confidence that the treatment efforts have paid off and that five of the six teeth are likely to be saved. “It will be exciting to see the continued general healing and the osteogenesis around these two teeth in particular in the coming months and years,” he explained. “Our plan is to spot treat the remaining deep pockets with laser treatment and continue to use Perio Trays to deliver medication to the areas requiring osteogenesis.” Dr. Wilson notes that success in this case should also be credited to the patient. “He improved his homecare with the Perio Tray delivery of medication, he drove so far for our appointments, he genuinely made good on his commitment. This kind of patient interaction and success make dentistry so rewarding.”
Learn more information about the prescription Perio Tray® from Perio Protect.




















Comments